
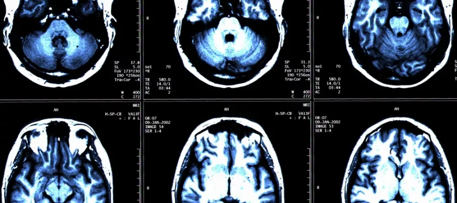
“Brain Segmentation with Artificial Intelligence” is a fully automatic and FDA-approved software helping physicians in the differential diagnosis of the most common types of dementia.
YBuilt with Artificial Intelligence, this fully automated and FDA-approved software assists physicians in the differential diagnosis of the most common types of dementia: Alzheimer’s Disease (AD), Vascular Dementia (VaD), Dementia with Lewy Bodies (DLB), and Frontotemporal Dementia (FTD).

This AI software reveals the following anomaly patterns:
– Measurement and monitoring of annual brain volume changes of dementia-specific brain structures (frontal, parietal, temporal and hippocampal cortex).
– Comparison of brain volume and volume changes with an age-matched and gender-matched normative healthy population.
– Visualization of atrophy patterns in the intuitive dementia signature.

The Brain Segmentation with Artificial Intelligence output consists of a short report with normative reference values and color-coded segmentations in DICOM format to help the physician report and conceptualize the patient’s condition.

Brain Segmentation Background Information
Some structural MRI features have a positive predictive value for AD and non-AD dementia and can be used in the differential diagnosis of dementia.
